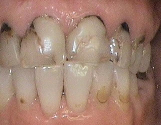
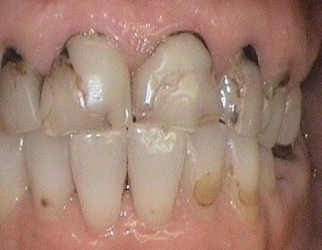
Mr. M was busy taking care of his ill-wife diagnosed with Cancer, neglecting his teeth. After his wife passed away, he came into Lurie Dental in hopes of saving his teeth. Dr. Lurie did multiple crowns thankfully avoiding the need of root canal therapy with careful removal of decay.

