Javascript must be enabled for the correct page display
Hours & Contact
Monday, Wednesday - Friday:
9am - 5pm
Tuesday:
9am - 1pm
Have a question? Give us a call!
(561) 819-1254
facebook
instagram
tiktok
google
Main Menu
Menu
Smile Gallery
Services
Emergency Dentist
General Dentistry
Deka Laser Therapy
Preventive Dentistry
Restorative
Crowns & Bridges
Dental Implants
Dentures
Cosmetic
Clear Aligners
Teeth Whitening
Conditions
Periodontal Disease
Sleep Apnea
Oral Surgery
Tooth Extractions
Pediatric
Jaw Growth & Development
About Us
Meet the Team
Dentist
Hygienist
Front Office Assistants
Dental Assistants
Testimonials
Office Tour
Community Involvement
Garlic Fest
Guided Growth Development
We Love Our Patients
Blog
Patient Info
Insurance & Financing
Special Offers
Dental Technology
Request an Appointment
Search
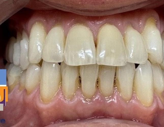
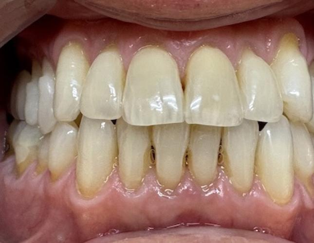
KOR Whitening System
Mr. S, KOR whitening system before and after. Beautiful white-bright smile.
Anonymous