Smile Restoration

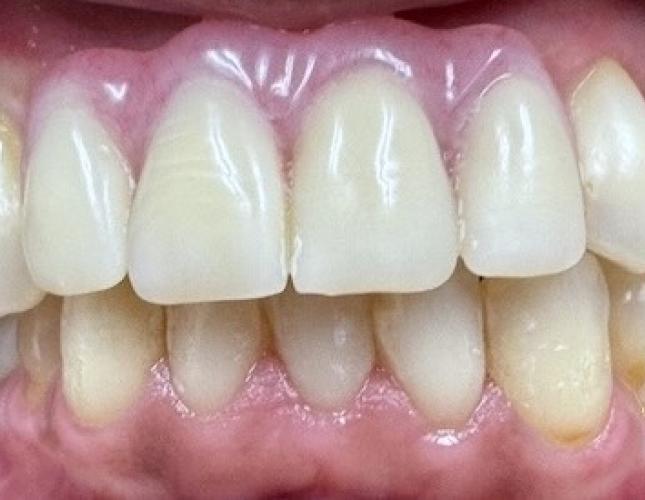
Melissa came to us as a victim of domestic abuse, she was missing several teeth and Doctor Lurie restored her smile.

Anonymous
Before
After